Secondary Prevention of Cervical Cancer

Color – Normal

White acetic acid reaction indicates normal finding.

White acetic acid reaction indicates normal finding.

The color of the acetowhite epithelium provides a graduating sign. Colposcopic findings in a 21-year-old gravida 0 who had been vaccinated against HPV with quadrivalent vaccine at 14 years of age. The smear was reported as class IIID1, and HPV DNA was not detected.

Colposcopy shows a bright, circular acetowhite atypical T-zone type 1, which is classified as normal colposcopic finding.

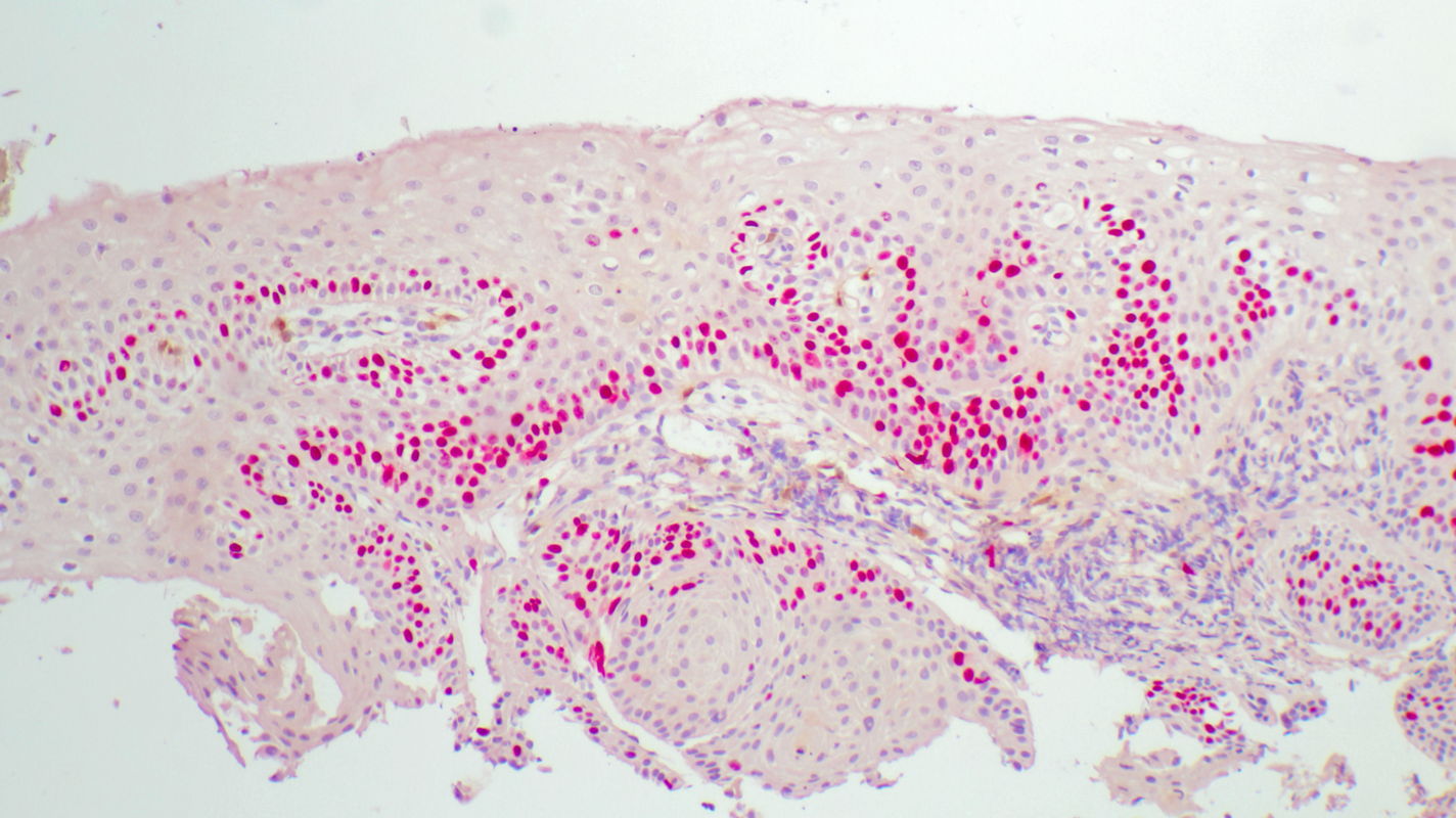
Normal squamous epithelium is consistent with metaplasia.

Normal squamous epithelium is consistent with metaplasia.

Histopathology of tissue sampled at 11 o’clock by strip biopsy shows normal metaplastic squamous epithelium. The immune marker Ki67 is expressed only in the basal cell layer, and p16 is not detected.

Histopathology findings are interpreted as normal.